O reino animal é incrivelmente diverso! 🌎 E dentro dele, a grande maioria dos animais pertence ao grupo dos invertebrados. Eles são chamados assim porque não possuem coluna vertebral.
Características gerais:
- Sem coluna vertebral: Essa é a principal característica que os define.
- Grande diversidade: Existem muitos tipos diferentes de invertebrados, com formas, tamanhos e cores variadas.
- Habitats diversos: Podem ser encontrados em praticamente qualquer lugar do planeta, desde o fundo do mar até o topo das montanhas.
Classificação:
Os invertebrados são divididos em diversos filos, sendo os principais:
- Poríferos: As esponjas do mar, animais aquáticos simples e fixos.
- Cnidários: Águas-vivas, corais e anêmonas-do-mar, que possuem células urticantes.
- Platelmintos: Vermes de corpo achatado, como planárias, tênias e esquistossomos.
- Nematelmintos: Vermes cilíndricos, como lombrigas e filárias.
- Moluscos: Caracóis, lesmas, ostras, polvos e lulas, com corpo mole e geralmente protegido por uma concha.
- Anelídeos: Minhocas e sanguessugas, com corpo segmentado em anéis.
- Artrópodes: O maior grupo de invertebrados, incluindo insetos, aranhas, crustáceos e miriápodes, com corpo segmentado, exoesqueleto e apêndices articulados.
- Equinodermos: Estrelas-do-mar, ouriços-do-mar e pepinos-do-mar, exclusivamente marinhos e com simetria radial.
Importância:
Os invertebrados desempenham papéis importantes em diversos ecossistemas:
- Cadeia alimentar: Servem de alimento para outros animais.
- Polinização: Alguns insetos, como abelhas e borboletas, são importantes polinizadores.
- Decomposição: Ajudam na decomposição da matéria orgânica.
- Produção de alimentos: Alguns são utilizados na alimentação humana, como camarões, ostras e mel.
Apesar de pequenos, os invertebrados são essenciais para a vida no planeta! 🌎 Eles são parte fundamental da biodiversidade e contribuem para o equilíbrio dos ecossistemas.
Os platelmintos são um grupo fascinante de invertebrados com características únicas! Eles são vermes de corpo achatado, o que lhes dá o nome "platelmintos" (do grego "platy" = chato e "helmintos" = verme). 🪱
Características principais:
- Corpo achatado: Essa é a característica mais marcante, permitindo que vivam em diversos ambientes, como água doce, mar e até mesmo dentro de outros animais.
- Triblásticos: Possuem três camadas de tecido embrionário: ectoderme, mesoderme e endoderme.
- Acelomados: Não possuem uma cavidade corporal.
- Simetria bilateral: Se você cortar um platelminto ao meio, longitudinalmente, terá duas metades simétricas.
Sistemas:
- Digestório incompleto: Possuem apenas uma abertura, a boca, que serve tanto para a entrada de alimentos quanto para a saída de dejetos.
- Nervoso simples: Possuem gânglios nervosos na cabeça e cordões nervosos que se estendem pelo corpo.
- Excreção: Através de células-flama.
- Respiratório e circulatório: Ausentes. As trocas gasosas ocorrem por difusão.
Reprodução:
- Pode ser sexuada ou assexuada.
- Muitos platelmintos são hermafroditas, ou seja, possuem órgãos reprodutores masculinos e femininos.
Exemplos:
- Planárias: De vida livre, encontradas em água doce.
- Tênias: Parasitas que vivem no intestino de animais, incluindo o ser humano.
- Schistosoma: Verme parasita que causa a esquistossomose.
Os platelmintos, apesar de pequenos, podem causar grandes problemas! 🦠 Alguns deles são parasitas e causam doenças em humanos e outros animais. As principais doenças causadas por platelmintos são:
1. Teníase:
- Causada por: Taenia solium (tênia do porco) e Taenia saginata (tênia do boi).
- Transmissão: Ingestão de carne de porco ou boi crua ou mal cozida contendo cisticercos (larvas da tênia).
- Sintomas: Dor abdominal, náuseas, vômitos, perda de peso, diarreia ou constipação.
- Prevenção: Cozinhar bem as carnes, saneamento básico e higiene pessoal.
2. Cisticercose:
- Causada por: Taenia solium.
- Transmissão: Ingestão de ovos da tênia do porco, geralmente através de água ou alimentos contaminados com fezes humanas.
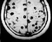
- Sintomas: Variam de acordo com a localização dos cisticercos no corpo. Os mais graves ocorrem quando atingem o cérebro, causando convulsões, dores de cabeça e problemas neurológicos.
- Prevenção: Saneamento básico, higiene pessoal, lavar bem as mãos e alimentos.
3. Esquistossomose:
- Causada por: Schistosoma mansoni.
- Transmissão: Penetração da larva cercária na pele durante contato com água doce contaminada.
- Sintomas: Dores abdominais, diarreia, febre, fraqueza, aumento do fígado e baço. Em casos crônicos, pode levar a graves complicações no fígado e intestino.
- Prevenção: Saneamento básico, evitar contato com água contaminada, tratamento das pessoas infectadas.
Outras doenças:
- Fasciolose: Causada pelo Fasciola hepatica, que parasita o fígado de animais, principalmente ovelhas e bois.
- Hidatidose: Causada pelo Echinococcus granulosus, que forma cistos hidáticos em diversos órgãos, principalmente fígado e pulmões.
Nenhum comentário:
Postar um comentário
Observação: somente um membro deste blog pode postar um comentário.